TAP top app download banner
theAsianparent Thailand Logo
theAsianparent Thailand Logo
คู่มือสินค้า
เข้าสู่ระบบ
  • TAP Awards 2025
  • อยากท้อง
  • แม่ท้อง แม่ให้นม
    • ระยะการตั้งครรภ์
    • โภชนาการเเม่ท้อง
    • โภชนาการแม่ให้นม
    • ตั้งชื่อลูก
    • พัฒนาการสมอง
  • แม่ผ่าคลอด
    • พัฒนาการเด็กผ่าคลอด
    • เตรียมตัวผ่าคลอด
    • สุขภาพเด็กผ่าคลอด
    • คู่มือคุณแม่ผ่าคลอด
    • การดูแลหลังผ่าคลอด
    • โภชนาการเด็กผ่าคลอด
  • หลังคลอด
    • คลอดธรรมชาติ
    • ผ่าคลอด
    • การให้นมลูก
  • สุขภาพและโภชนาการ
    • โภชนาการ
    • สุขภาพ
  • ลูก
    • ทารกแรกเกิด
    • ทารก
    • เด็กวัยหัดเดิน
    • เด็กก่อนวัยเรียน
    • เด็ก
    • เด็กก่อนวัยรุ่น และวัยรุ่น
  • ชีวิตครอบครัว
    • ความรักและความสัมพันธ์
    • การเลี้ยงลูก
    • มุมคุณพ่อ
    • ประกันชีวิต
    • การวางแผนการเงิน
    • ความรัก และ เซ็กส์
    • #สอนลูกเรื่องเงิน ฉบับพ่อแม่
    • TAPpedia
  • การศึกษา
    • เด็กวัยประถม
    • โรงเรียนประถม
    • มัธยมศึกษา
    • แบบฝึกหัดและข้อสอบ
    • แนะแนวการศึกษาต่างประเทศ
  • ผู้หญิง
    • แฟชั่น
    • ความงาม
    • ฟิตเนส
  • ไลฟ์สไตล์
    • ที่เที่ยว
    • ที่กิน
    • ดวง
    • ทำนายฝัน
    • สีมงคล
    • บทสวดมนต์
    • ข่าว
    • ดูแลบ้าน
    • แนะนำโดย TAP
    • อีเว้นท์
  • วิดีโอ
    • การตั้งครรภ์
    • ทารก
    • คำแนะนำในการเลี้ยงลูก
    • การให้นมบุตร
    • อาหารเสริมทารก & โภชนาการ
    • เด็กเล็ก
  • ชอปปิง
  • VIP

นึกว่าตั้งครรภ์ สุดท้ายแค่ ตั้งครรภ์ไข่ปลาอุก มาดูกันชัด ๆ !

บทความ 5 นาที
นึกว่าตั้งครรภ์ สุดท้ายแค่ ตั้งครรภ์ไข่ปลาอุก มาดูกันชัด ๆ !

อาการเหมือนตั้งครรภ์ทุกอย่างจนดูไม่ออก แต่สุดท้ายก็ต้องพบว่าจริง ๆ แล้วเป็นการท้องที่เรียกว่า ครรภ์ไข่ปลาอุก!

ตั้งครรภ์ไข่ปลาอุก หรือ ท้องไข่ปลาอุก คืออะไร อาการอย่างไรที่เรียกว่าคล้ายกับคนตั้งครรภ์ วันนี้เราจะมาทำความรู้จักไปพร้อม ๆ กันนะคะ

ตั้งครรภ์ไข่ปลาอุก หรือ ท้องไข่ปลาอุก คืออะไร

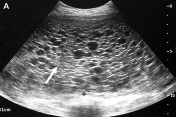
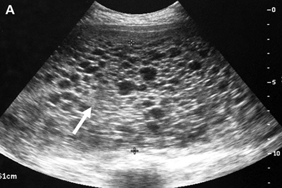
ครรภ์ไข่ปลาอุก (Molar pregnancy หรือ Hydatidiform mole) คือ การตั้งครรภ์ที่ผิดปกติชนิดหนึ่งที่มีอาการเริ่มแรกเหมือนการตั้งครรภ์ทั่วไป คือ ประจำเดือนขาดและมีอาการแพ้ท้อง (บางรายอาจมีอาการแพ้ท้องอย่างรุนแรง คือ มีอาการคลื่นไส้อาเจียนมากกว่าปกติหลายเท่า) มีเลือดออกทางช่องคลอด แต่สีเลือดที่ออกมาจะไม่ใช่สีแดงสด แต่จะเป็นสีน้ำตาลคล้ำ ๆ คล้ายเลือดเก่า (อาจจะออกเพียงเล็กน้อยหรือออกมากก็ได้ ซึ่งการมีเลือดออกในครรภ์ไข่ปลาอุกนี้ก็เป็นการแท้งชนิดหนึ่งนั่นเอง) นอกจากจะมีเลือดออกมาแล้ว บางครั้งยังอาจมีเม็ดกลม ๆ ใส ๆ คล้ายกับไข่ปลาอุกหลุดปนออกมาทางช่องคลอดด้วย

ไข่ปลาอุก หรือ ท้องไข่ปลาอุก การตั้งครรภ์ชนิดนี้ส่วนใหญ่แล้วมักจะไม่มีตัวเด็ก เนื่องจากตัวเด็กไม่เจริญเติบโตตั้งแต่อายุได้ 3-5 สัปดาห์แล้ว แต่ส่วนที่ออกมาให้เห็นเป็นเม็ด ๆ นั้น คือส่วนของเนื้อรกที่มีการเจริญผิดปกติจนกลายเป็นเนื้องอกคล้ายถุงน้ำอยู่เต็มไปหมดภายในโพรงมดลูก ส่วนมากจะเป็นเนื้องอกชนิดไม่ร้ายที่ไม่มีอันตรายร้ายแรง มีเพียงส่วนน้อยเท่านั้นประมาณร้อยละ 2 ที่อาจกลายเป็นเนื้อร้ายหรือมะเร็งเยื่อรก ซึ่งอาจลุกลามและแพร่กระจายตามกระแสเลือดไปทั่วร่างกายได้ โดยโรคครรภ์ไข่ปลาอุกนี้มักเกิดขึ้นในระยะแรก ๆ ของการตั้งครรภ์ หรือในช่วงประมาณสัปดาห์ที่ 10-16 ของการตั้งครรภ์

ตามปกติแล้วภายหลังการผสมกันระหว่างไข่กับเชื้ออสุจิก็จะมีตัวอ่อนเกิดขึ้น ซึ่งตัวอ่อนนี้จะมีการพัฒนาต่อไปเป็นรกและเป็นตัวเด็ก แต่จากการศึกษาทางการแพทย์พบว่า การตั้งครรภ์ของคุณแม่บางรายไม่เป็นเช่นนั้น เนื่องจากเซลล์ส่วนที่จะเป็นรกนั้นมีการเจริญเติบโตอย่างรวดเร็ว ในขณะที่เซลล์ส่วนที่จะกลายเป็นตัวทารกกลับตายไป จึงเหลือแต่ส่วนที่เป็นรก และรกนั้นสามารถสร้างน้ำขึ้นมาได้อย่างมากมาย จึงทำให้มองเห็นเป็นเม็ดใส ๆ คล้ายไข่ปลาอุก

 

อัตราการเกิดครรภ์ไข่ปลาอุก ท้องไข่ปลาอุก

ไข่ปลาอุก หรือ ท้องไข่ปลาอุก เป็นโรคที่พบได้มากน้อยแตกต่างกันไปตามเชื้อชาติและสภาพเศรษฐกิจ เช่น ในอเมริกาและประเทศทางยุโรปจะพบโรคนี้ได้น้อยมากเพียง 1 ใน 2,000 ราย ส่วนประเทศทางตะวันออกอย่างในบ้านเราจะพบโรคนี้สูงขึ้นเป็น 10 เท่า และสตรีที่มีอายุมากก็จะยิ่งมีโอกาสเป็นได้มากกว่าสตรีที่มีอายุน้อย รายงานจากโรงพยาบาลหลายแห่งในกรุงเทพมหานครพบว่า มีการตั้งครรภ์ไข่ปลาอุก 1 รายต่อการตั้งครรภ์ 200-600 ราย และส่วนใหญ่จะพบในผู้ที่มีฐานะยากจนและเป็นโรคขาดสารอาหารมากกว่าผู้ที่มีฐานะดีและมีอาหารการกินที่อุดมสมบูรณ์ นอกจากนี้คุณแม่ที่เคยตั้งครรภ์ไข่ปลาอุกมาแล้วครั้งหนึ่งก็จะมีโอกาสเกิดซ้ำได้มากกว่าคนตั้งครรภ์ปกติถึง 20 เท่าบ้างก็ระบุว่าจะมีโอกาสเป็นซ้ำได้ประมาณ 5-10 เท่าของการตั้งครรภ์ปกติ

 

อาการ ตั้งครรภ์ไข่ปลาอุก เป็นอย่างไร

เมื่อเริ่มตั้งครรภ์ใหม่ ๆ คุณแม่จะมีอาการเหมือนการตั้งครรภ์ตามปกติ แต่เมื่อการตั้งครรภ์ดำเนินต่อไปสักระยะหนึ่งก็จะมีเลือดสีน้ำตาลไหลออกมาทางช่องคลอดแบบออก ๆ หยุด ๆ ถ้ามีอาการเพียงเท่านี้ แพทย์อาจให้การวินิจฉัยว่าเป็นการแท้งบุตร แต่ถ้าตั้งครรภ์ไปอีกระยะหนึ่งแล้วมีอาการแสดงที่แตกต่างกันไปจากการตั้งครรภ์และการแท้งบุตรตามปกติหลายอย่างร่วมด้วย เช่น มีเลือดออกทางช่องคลอดมากขึ้น บางรายมีเม็ดใส ๆ คล้ายไข่ปลาอุกออกมาด้วย, แพ้ท้องมากกว่าปกติหลายเท่า, มีอาการของต่อมไทรอยด์เป็นพิษและครรภ์เป็นพิษ ฯลฯ ซึ่งอาการที่แสดงของการตั้งครรภ์ไข่ปลาอุกนั้นจะมีอาการดังต่อไปนี้

  • อาการเริ่มแรกเหมือนกับการตั้งครรภ์ทั่วไป เมื่อเริ่มตั้งครรภ์ใหม่ ๆ เช่น ประจำเดือนขาด มีอาการแพ้ท้อง คัดตึงเต้านม ปัสสาวะบ่อย ฯลฯ
  • มีเลือดออกผิดปกติทางช่องคลอดในช่วงไตรมาสแรกของการตั้งครรภ์ คล้ายกับการแท้งบุตร ลักษณะของเลือดที่ออกมาจะเป็นสีน้ำตาลคล้ำ ๆ หรือสีดำคล้ายเลือดเก่า ๆ จะออกมากหรือน้อยก็ได้ แต่จะออกมาแบบออก ๆ หยุด ๆ ซึ่งเป็นอาการที่พบได้มากที่สุดประมาณ 84% ของผู้ป่วย ในบางรายอาจมีเลือดออกนานเป็นสัปดาห์หรือเป็นเดือน ๆ จะทำให้มีอาการซีดและอ่อนเพลีย ในทางปฏิบัติแพทย์มักจะวินิจฉัยว่าเป็นการแท้งบุตร แต่เมื่อให้การรักษาด้วยการให้นอนพักและหยุดงานแล้ว เลือดก็ยังออกแบบกะปริดกะปรอยอยู่อีก เป็น ๆ หาย ๆ ได้ประมาณ 1-2 เดือน ซึ่งตรงนี้จะแตกต่างจากการแท้งทั่ว ๆ ไป เพราะการแท้งนั้นเมื่อเกิดขึ้นแล้วธรรมชาติมักจะจัดการในเวลาอันสั้น โดยแท้งออกมาเป็นรกหรือเป็นตัวเด็ก เมื่อเลือดหยุดไหลก็สามารถตั้งครรภ์ต่อไปได้ตามปกติ มักจะไม่พบกรณีที่เลือดออกมาแบบเป็น ๆ หาย ๆ และเป็นเวลานานเหมือนครรภ์ไข่ปลาอุก
  • ขนาดของมดลูกโตเร็วกว่าอายุครรภ์และบวมน้ำมาก คุณแม่อาจพบว่าขนาดของท้องหรือมดลูกโตเร็วมากกว่าอายุครรภ์ที่ควรจะเป็นคล้ายกับมีการตั้งครรภ์แฝด โดยที่ยังไม่รู้สึกว่าทารกในครรภ์ดิ้นเลย
  • มีอาการแพ้ท้องอย่างรุนแรง โดยจะมีอาการคลื่นไส้อาเจียนมากกว่าปกติหลายเท่าจนต้องมารับการรักษาในโรงพยาบาล ทำให้น้ำหนักตัวลดหรือมีความผิดปกติของเกลือแร่ในกระแสเลือด (เชื่อว่าเกิดขึ้นมาจากระดับฮอร์โมน hCG ในร่างกายที่สูงขึ้นปกติ ซึ่งเป็นฮอร์โมนที่สร้างมาจากเนื้อเยื่อรกที่มีการเจริญเติบโตผิดปกติอย่างมากมาย)
  • มีอาการครรภ์เป็นพิษในขณะอายุครรภ์น้อย ๆ ก่อน 20 สัปดาห์ หรือตั้งแต่ในช่วงไตรมาสแรกของการตั้งครรภ์ คือ มีอาการปวดศีรษะ ตาพร่ามัว จุกแน่นลิ้นปี่ แขนขาบวม มีความดันโลหิตสูงร่วมกับมีโปรตีนรั่วออกมาในปัสสาวะ
  • มีอาการของต่อมไทรอยด์เป็นพิษ คุณแม่จะมีอาการใจสั่น มือสั่น ชีพจรเต้นเร็ว เหนื่อยง่าย เหงื่อออกมาก
  • ถุงน้ำรังไข่ ขนาดโดยทั่วไปจะโตประมาณ 6-12 เซนติเมตร และอาจจะโตได้ถึง 20 เซนติเมตร และเป็นทั้ง 2 ข้าง ซึ่งอาจทำให้เกิดภาวะแทรกซ้อนบิดขั้ว แตก และตกเลือดได้ ต้องทำการผ่าตัดฉุกเฉิน ถ้าถุงน้ำรังไข่มีขนาดใหญ่มาก ๆ อาจจะทำให้เกิดอาการแน่นอึดอัดในอุ้งเชิงกรานได้ สามารถรักษาได้ด้วยการเจาะดูดบรรเทาภายใต้การชี้นำของคลื่นเสียงความถี่สูงหรือการผ่าตัดส่องกล้อง ถุงน้ำนี้จะหายไปได้เองภายใน 2-4 เดือนหลังจากที่รักษาภาวะครรภ์ไข่ปลาอุกแล้ว

บทความที่เกี่ยวข้อง: โรคนิ้วล็อกในเด็ก พบได้ตั้งแต่แรกเกิด พ่อแม่จะมีวิธีสังเกตอาการลูกน้อยได้อย่างไร

 

สาเหตุการ ตั้งครรภ์ไข่ปลาอุก ท้องไข่ปลาอุก

ในปัจจุบันวงการแพทย์ยังไม่สามารถหาสาเหตุว่าการตั้งครรภ์ไข่ปลาอุกนั้นเกิดจากสาเหตุอะไร แพทย์บางท่านเชื่อว่าน่าจะเกิดจากกรรมพันธุ์ บ้างก็เชื่อว่าน่าจะเกิดจากการขาดสารอาหารบางอย่าง หรืออาจเกิดจากการสร้างฮอร์โมนบางชนิดที่ผิดปกติ สรุปก็คือ ยังไม่ทราบแน่ชัดแต่เท่าที่ทราบได้ก็คือ เป็นเนื้องอกของเนื้อรกชนิดหนึ่งที่มีการแบ่งตัวมากผิดปกติ ซึ่งเกิดจากการปฏิสนธิกันระหว่างไข่กับเชื้ออสุจิที่มีโครโมโซมผิดปกติ (ไข่ของคุณแม่ไม่มีโครโมโซมเพศ (โครโมโซม X) เมื่อถูกผสมจากเชื้ออสุจิของคุณพ่อ โครโมโซมของตัวอ่อนนี้จึงเป็นโครโมโซมของคุณพ่อเองทั้งหมด) ทำให้ไม่สามารถเจริญเติบโตไปเป็นตัวอ่อนของมนุษย์ตามปกติได้ แต่จะเจริญผิดปกติเป็นถุงน้ำเล็ก ๆ จำนวนมากอยู่ภายในโพรงมดลูก

ปัจจัยเสี่ยง ได้แก่

  1. คุณแม่ตั้งครรภ์ที่มีอายุน้อยกว่า 18 ปี หรือมากกว่า 40 ปีขึ้นไป คุณแม่ตั้งครรภ์ที่มีอายุมากกว่า 40 ปีจะมีความเสี่ยงตั้งครรภ์ไข่ปลาอุกเพิ่มขึ้นเป็น 5 เท่า ซึ่งอาจเป็นเพราะสตรีที่มีอายุมากขึ้นจะทำให้ไข่มีโอกาสเกิดการปฏิสนธิที่ผิดปกติได้ง่ายมากขึ้น ส่วนคุณแม่ที่อายุน้อยกว่า 18-20 ปี จะมีความเสี่ยงเพิ่มขึ้นเล็กน้อย
  2. คุณแม่ที่เพิ่งตั้งครรภ์เป็นครั้งแรก
  3. มีประวัติการตั้งครรภ์ไข่ปลาอุก ผู้ที่เคยตั้งครรภ์ไข่ปลาอุกมาแล้ว 1 ครั้ง จะมีโอกาสตั้งครรภ์ไข่ปลาอุกซ้ำได้อีกประมาณ 1-2% ในครรภ์ต่อไป ส่วนผู้ที่เคยมีประวัติการตั้งครรภ์ไข่ปลาอุกมาแล้ว 2 ครั้งจะมีโอกาสตั้งครรภ์ไข่ปลาอุกซ้ำได้อีกเพิ่มขึ้นเป็น 16-28% ในครรภ์ต่อไป
  4. ภาวะโภชนาการ จากการศึกษาพบว่าการรับประทานแคโรทีนน้อยและมีภาวะพร่องวิตามินเอจะช่วยเพิ่มอุบัติการณ์การตั้งครรภ์ไข่ปลาอุกชนิดที่ไม่มีส่วนของทารกปนอยู่ด้วย
  5. มีประวัติประจำเดือนไม่สม่ำเสมอและประวัติการใช้ยาคุมกำเนิด พบว่าเป็นปัจจัยเสี่ยงของการเกิดการตั้งครรภ์ไข่ปลาอุกชนิดที่มีทารกหรือส่วนของทารกปนอยู่ด้วย
  6. การสูบบุหรี่
  7. กรรมพันธุ์ เชื้อชาติ เผ่าพันธุ์ และสภาพทางเศรษฐกิจ

 

ที่มา:

  1. หนังสือคู่มือตั้งครรภ์และเตรียมคลอด
  2. หนังสือ 40 สัปดาห์ พัฒนาครรภ์คุณภาพ.
  3. หนังสือตำราการตรวจรักษาโรคทั่วไป 2
  4. หาหมอดอทคอม
  5. คณะอนุกรรมการประชาสัมพันธ์ด้านสุขภาพสตรี ราชวิทยาลัยสูตินรีแพทย์แห่งประเทศไทย
  6. ภาควิชาสูติศาสตร์และนรีเวชวิทยา คณะแพทยศาสตร์ มหาวิทยาลัยเชียงใหม่
  7. บันทึกคุณแม่
  8. Medthai

ขอบคุณภาพจาก:  www.emcurious.com, pathology911.com

 

บทความที่เกี่ยวข้อง:
อาการท้องไตรมาสแรก ที่ต้องพบในช่วงตั้งครรภ์ 100 สิ่งแม่ท้องต้องรู้ ตอนที่ 10
อาการท้องแรกกับท้องสองต่างกันไหม ท้องสองคลอดเร็วกว่าท้องแรกจริงหรือเปล่า
คนท้องต้องรู้! ท้อง 8 เดือนมีอาการท้องแข็ง ผิดปกติหรือไม่ มาดูกัน!

 

มีข้อสงสัยเรื่องการตั้งครรภ์ หรือมีคำถามเรื่องการเลี้ยงลูกหรือเปล่าคะ? ติดตามอ่านบทความ หรือสอบถามสิ่งที่คุณอยากรู้ผ่านแอปของเราได้เลย ดาวน์โหลด theAsianparent แอปพลิเคชัน ทั้ง IOS และ Android ได้แล้ววันนี้!

Follow us on:
facebook-logo instagram-logo tiktok-logo
ddc-calendar
เตรียมความพร้อมสำหรับลูกน้อย โดยใส่วันครบกำหนดคลอดของคุณ
หรือ
คำนวณวันครบกำหนดคลอด
img
บทความโดย

Muninth

  • หน้าแรก
  • /
  • เตรียมตัวเป็นผู้ปกครอง
  • /
  • นึกว่าตั้งครรภ์ สุดท้ายแค่ ตั้งครรภ์ไข่ปลาอุก มาดูกันชัด ๆ !
แชร์ :
  • นวัตกรรมใหม่! รักษาภาวะ มีลูกยากจาก PCOS วิธีทำให้ไข่ตก ธรรมชาติ โดยไม่ต้องใช้ยา

    นวัตกรรมใหม่! รักษาภาวะ มีลูกยากจาก PCOS วิธีทำให้ไข่ตก ธรรมชาติ โดยไม่ต้องใช้ยา

  • คนท้องระวัง! วิจัยชี้ อากาศร้อนชื้น ทำลูกเสี่ยงตัวเตี้ย พัฒนาการช้า

    คนท้องระวัง! วิจัยชี้ อากาศร้อนชื้น ทำลูกเสี่ยงตัวเตี้ย พัฒนาการช้า

  • Cryoviva Thailand คว้ารางวัล! "Most Innovative Stem Cell Banking" จาก theAsianparent Awards 2025 ตอกย้ำความเป็นผู้นำด้านนวัตกรรมการจัดเก็บสเต็มเซลล์
    บทความจากพันธมิตร

    Cryoviva Thailand คว้ารางวัล! "Most Innovative Stem Cell Banking" จาก theAsianparent Awards 2025 ตอกย้ำความเป็นผู้นำด้านนวัตกรรมการจัดเก็บสเต็มเซลล์

  • นวัตกรรมใหม่! รักษาภาวะ มีลูกยากจาก PCOS วิธีทำให้ไข่ตก ธรรมชาติ โดยไม่ต้องใช้ยา

    นวัตกรรมใหม่! รักษาภาวะ มีลูกยากจาก PCOS วิธีทำให้ไข่ตก ธรรมชาติ โดยไม่ต้องใช้ยา

  • คนท้องระวัง! วิจัยชี้ อากาศร้อนชื้น ทำลูกเสี่ยงตัวเตี้ย พัฒนาการช้า

    คนท้องระวัง! วิจัยชี้ อากาศร้อนชื้น ทำลูกเสี่ยงตัวเตี้ย พัฒนาการช้า

  • Cryoviva Thailand คว้ารางวัล! "Most Innovative Stem Cell Banking" จาก theAsianparent Awards 2025 ตอกย้ำความเป็นผู้นำด้านนวัตกรรมการจัดเก็บสเต็มเซลล์
    บทความจากพันธมิตร

    Cryoviva Thailand คว้ารางวัล! "Most Innovative Stem Cell Banking" จาก theAsianparent Awards 2025 ตอกย้ำความเป็นผู้นำด้านนวัตกรรมการจัดเก็บสเต็มเซลล์

ลงทะเบียนรับคำแนะนำเรื่องการตั้งครรภ์พัฒนาการลูกในท้องได้ที่นี่
  • เตรียมตัวเป็นผู้ปกครอง
  • พัฒนาการลูก
  • ชีวิตครอบครัว
  • ระยะการตั้งครรภ์
  • โภชนาการ
  • ไลฟ์สไตล์
  • TAP สังคมออนไลน์
  • ติดต่อโฆษณา
  • ติดต่อเรา
  • Influencer Marketing (KOL)
  • มาเข้าร่วมกับเรา


  • Singapore flag Singapore
  • Thailand flag Thailand
  • Indonesia flag Indonesia
  • Philippines flag Philippines
  • Malaysia flag Malaysia
  • Vietnam flag Vietnam
© Copyright theAsianparent 2026. All rights reserved
เกี่ยวกับเรา |ทีม|นโยบายความเป็นส่วนตัว |ข้อกำหนดการใช้ |แผนผังเว็บไซต์
  • เครื่องมือ
  • บทความ
  • ฟีด
  • โพล

เราใช้คุกกี้เพื่อมอบประสบการณ์คอนเทนต์ที่ดีที่สุดให้กับคุณ. เรียนรู้เพิ่มเติมตกลง เข้าใจแล้ว

เราใช้คุกกี้เพื่อมอบประสบการณ์คอนเทนต์ที่ดีที่สุดให้กับคุณ. เรียนรู้เพิ่มเติมตกลง เข้าใจแล้ว