ใครจะไปคาดคิดว่า “เสื้อคลุมแสนอบอุ่นของพ่อ” ที่ลูกชอบหยิบมาใส่ อาจแฝงไปด้วยภัยเงียบ ที่ชื่อว่าแร่ใยหิน นำไปสู่โรคร้ายแรงอย่าง มะเร็งเยื่อหุ้มปอด ที่อาจพรากเวลาชีวิตของลูกได้
วันนี้ theAsianparent ขอนำเสนอเรื่องราวอุทาหรณ์จากต่างประเทศ เพื่อเป็นเครื่องเตือนใจ พร้อมทั้งให้ข้อมูลเกี่ยวกับ “แร่ใยหิน” (Asbestos) ภัยร้ายใกล้ตัวที่หลายครอบครัวอาจมองข้าม
จากเสื้อคลุมแสนอบอุ่น สู่คำวินิจฉัย “มะเร็งเยื่อหุ้มปอด”
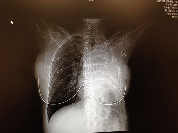
เรื่องราวนี้เกิดขึ้นกับ เฮเธอร์ วอน เซนต์ เจมส์ (Heather Von St James) หญิงสาวจากรัฐมินนิโซตา สหรัฐอเมริกา ซึ่งปัจจุบันเธอมีอายุ 57 ปี ย้อนกลับไปเมื่อครั้งเธอยังเป็นเด็กเล็กๆ ในทศวรรษที่ 1980 ค่ำคืนที่อากาศหนาวเย็น เฮเธอร์มักจะหยิบเอาเสื้อแจ็กเก็ตสีน้ำเงินเข้มของคุณพ่อ ซึ่งแขวนอยู่ริมประตูมาสวมใส่เพื่อออกไปให้อาหารกระต่ายเลี้ยงนอกบ้านเป็นประจำ เธอเล่าว่าเธอรักการใส่เสื้อตัวนี้มาก เพราะมันมีกลิ่นน้ำหอมอาฟเตอร์เชฟของคุณพ่อติดอยู่
แต่สิ่งที่เด็กน้อยในวันนั้นไม่เคยรู้เลยก็คือ เสื้อแจ็กเก็ตตัวโปรดที่พ่อใส่ไปทำงานในเขตก่อสร้างมาทั้งวันนั้น ถูกปกคลุมไปด้วย “ฝุ่นสีขาวเทา” ซึ่งก็คือ “แร่ใยหิน” (Asbestos) สารก่อมะเร็งอันตรายร้ายแรง
เวลาผ่านไปหลายสิบปี ภัยเงียบที่สะสมอยู่ในร่างกายก็เริ่มทำงาน เมื่อเฮเธอร์อายุ 36 ปี ชีวิตของเธอกำลังอยู่ในจุดที่สมบูรณ์แบบที่สุด เธอเพิ่งให้กำเนิดลูกคนแรกด้วยการผ่าคลอด และกลับไปทำงานเป็นช่างทำผมควบคู่กับการดูแลลูกน้อยที่บ้านอย่างมีความสุข แต่แล้วเธอกลับเริ่มมีอาการแปลกๆ เธอรู้สึก “เหนื่อยล้าตลอดเวลา” และมีไข้สูง
ในตอนแรก เฮเธอร์คิดว่ามันเป็นเพียงแค่อาการเหนื่อยล้าหลังคลอดบุตรทั่วไป จนกระทั่งวันหนึ่ง สามีของเธอ ได้ถ่ายภาพเธอนอนขดตัวหลับอยู่บนโซฟากับลูกน้อย เมื่อพี่สาวของเธอเห็นภาพนั้นก็ถึงกับตื่นตระหนกและโทรหาเธอทันที พร้อมบอกว่า “ในรูปเธอดูเหมือนคนตายเลย รีบไปหาหมอเถอะ”
การไปพบแพทย์นำมาซึ่งการตรวจร่างกายและเอกซเรย์คอมพิวเตอร์ (CT scan) แพทย์พบเนื้องอกขนาดใหญ่ใกล้กับปอดของเธอ และวินิจฉัยว่าเธอเป็น “โรคมะเร็งเยื่อหุ้มปอด” (Pleural Mesothelioma) ซึ่งเป็นมะเร็งชนิดลุกลามดุร้ายที่มีสาเหตุมาจากการสัมผัสแร่ใยหินโดยตรง
แพทย์บอกกับเธอว่า หากไม่รับการผ่าตัดครั้งใหญ่ เธออาจจะมีชีวิตอยู่ได้อีกเพียง 15 เดือนเท่านั้น

การต่อสู้ของคนเป็นแม่ เพื่อเอาชนะ มะเร็งเยื่อหุ้มปอด
วันที่เข้ารับการผ่าตัดในเดือนกุมภาพันธ์ ปี 2006 เป็นวันที่ยากลำบากและโดดเดี่ยวที่สุดในชีวิตของเธอ แพทย์ต้องผ่าตัดเอาปอดซ้ายของเธอออกไปทั้งข้าง พร้อมกับซี่โครง 1 ซี่, เยื่อหุ้มปอดส่วนที่มีเนื้องอก, เยื่อหุ้มหัวใจ และชิ้นส่วนของกะบังลมออก (โดยใช้ Gore-Tex ทางการแพทย์ทดแทน) หลังจากการผ่าตัด เธอต้องผ่านกระบวนการทำเคมีบำบัดแบบล้างช่องอกด้วยความร้อน (Heated chemotherapy) ที่แพทย์เรียกว่า “Shake and Bake” ตามด้วยการทำเคมีบำบัดอีก 4 รอบ และการฉายรังสีอีก 30 ครั้ง
ปัจจุบัน เฮเธอร์รอดชีวิตจากการเป็น มะเร็งเยื่อหุ้มปอด มาได้กว่า 20 ปีแล้ว ซึ่งแพทย์บอกว่าเป็นเคสที่หาได้ยากมากสำหรับผู้ป่วยมะเร็งชนิดนี้ แม้การมีปอดเพียงข้างเดียวจะทำให้เธอมีข้อจำกัดในชีวิต เช่น ไม่สามารถวิ่งได้ เหนื่อยหอบง่ายเมื่อขึ้นบันได หรือไม่สามารถยกของหนักได้ แต่เธอก็ใช้ชีวิตที่เหลืออยู่นี้เป็นวิทยากรรณรงค์ให้ผู้คนตระหนักถึงภัยร้ายของแร่ใยหิน (น่าเศร้าที่พ่อของเฮเธอร์ ได้เสียชีวิตลงในปี 2014 จากโรคมะเร็งไต ซึ่งแพทย์เชื่อว่าอาจมีส่วนเกี่ยวข้องกับการสัมผัสแร่ใยหินเช่นกัน)
รู้จักภัยเงียบ “แร่ใยหิน” (Asbestos) สาเหตุหลักของ มะเร็งเยื่อหุ้มปอด
จากเรื่องราวของเฮเธอร์ คุณพ่อคุณแม่หลายท่านอาจเริ่มสงสัยและกังวลว่า “แร่ใยหิน” คืออะไร?
ข้อมูลจากแนวทางเฝ้าระวังและสอบสวนโรคของกรมควบคุมโรค กระทรวงสาธารณสุข ระบุว่า แร่ใยหิน (Asbestos) แบ่งเป็น 2 กลุ่มใหญ่ คือ กลุ่มเซอร์เพนไทน์ (Serpentines) และกลุ่มแอมฟิโบล (Amphiboles) ซึ่งก่อให้เกิดโรคที่รุนแรงได้ (ปัจจุบันประเทศไทยได้ยกเลิกการใช้กลุ่มแอมฟิโบลแล้ว) แร่ใยหินมักถูกนำมาผสมในวัสดุก่อสร้าง เช่น กระเบื้องมุงหลังคา ฝ้าเพดาน ท่อซีเมนต์ ฉนวนกันความร้อน รวมถึงผ้าเบรกและคลัตช์ในรถยนต์
ความน่ากลัวของแร่ใยหินคือ ระยะฟักตัวที่ยาวนาน
เมื่อเราสูดดมฝุ่นแร่ใยหินเข้าไปในระบบทางเดินหายใจ มันจะไม่แสดงอาการในทันที แต่ฝุ่นขนาดจิ๋วเหล่านี้จะเข้าไปเกาะและฝังตัวทำลายเซลล์เยื่อบุปอดอย่างช้าๆ โดยมีระยะฟักตัวยาวนานถึงหลายสิบปี กว่าจะรู้ตัว ผู้ป่วยก็มักจะอยู่ในระยะที่รุนแรงแล้ว โดยโรคอันตรายที่เกิดจากแร่ใยหิน ได้แก่
- กลุ่มโรคมะเร็ง: แร่ใยหินเป็นสาเหตุหลักของ เมโสเธลิโอมา (Mesothelioma) หรือ มะเร็งเยื่อหุ้มปอด, มะเร็งเยื่อบุช่องท้อง, มะเร็งเยื่อหุ้มหัวใจ และมะเร็งอัณฑะ นอกจากนี้ยังเพิ่มความเสี่ยงมะเร็งปอด มะเร็งรังไข่ มะเร็งกล่องเสียง และมะเร็งกระเพาะอาหารอีกด้วย
- กลุ่มโรคที่ไม่ใช่มะเร็ง: โรคแอสเบสโตสิส (Asbestosis) หรือโรคพังผืดในปอด ทำให้ไอเรื้อรัง เหนื่อยง่าย และอาจทำให้หายใจล้มเหลวได้ รวมถึงภาวะปื้นเยื่อหุ้มปอด (Pleural plaque)
กลุ่มเสี่ยงคือใคร? บ้านเราเสี่ยง โรคมะเร็งเยื่อหุ้มปอด หรือไม่?
กลุ่มเสี่ยงหลักคือผู้ที่ทำงานสัมผัสกับฝุ่นแร่ใยหินโดยตรง เช่น
- ผู้รับเหมาก่อสร้าง, ช่างรื้อถอนอาคาร, ช่างมุงหลังคา
- ช่างปูกระเบื้อง, ช่างติดตั้งฉนวนกันความร้อน
- พนักงานอู่ซ่อมรถยนต์ (โดยเฉพาะแผนกเบรกและคลัตช์)
- คนงานในอู่ต่อเรือ หรือโรงงานผลิตท่อซีเมนต์

แต่กลุ่มเสี่ยงที่น่าเป็นห่วงที่สุดคือ “คนในครอบครัว”
เช่นเดียวกับกรณีของเฮเธอร์ที่ป่วยเป็น มะเร็งเยื่อหุ้มปอด แม้เด็กๆ หรือภรรยาจะไม่ได้ไปทำงานก่อสร้าง แต่การสัมผัสแร่ใยหินทางอ้อมจากการสวมกอดคุณพ่อตอนเลิกงาน การหยิบเสื้อคลุมของคุณพ่อมาใส่เล่น หรือการนำเสื้อผ้าที่เปื้อนฝุ่นของสามีไปซัก ล้วนเป็นช่องทางรับสารพิษเข้าสู่ปอดโดยไม่รู้ตัว
วิธีป้องกันและดูแลครอบครัวให้ปลอดภัยจากแร่ใยหิน
เพื่อไม่ให้โรคมะเร็งเยื่อหุ้มปอด เกิดขึ้นกับครอบครัวของเรา theAsianparent มีแนวทางป้องกันตามมาตรฐานอาชีวอนามัยมาฝากค่ะ
1. สำหรับคุณพ่อคุณแม่ที่ทำงานในกลุ่มเสี่ยง
- สวมใส่อุปกรณ์ป้องกันเสมอ: หากหลีกเลี่ยงไม่ได้ ต้องสวมอุปกรณ์คุ้มครองความปลอดภัยส่วนบุคคล (PPE) ทุกครั้ง เช่น หน้ากากป้องกันระบบทางเดินหายใจชนิด N95 (ที่ครอบทั้งปากและจมูกอย่างมิดชิด) ตลอดเวลาการทำงาน
- ตรวจสุขภาพประจำปี: ควรเข้ารับการตรวจร่างกายโดยเน้นระบบทางเดินหายใจ เช่น การเอกซเรย์ปอด และตรวจสมรรถภาพปอดอย่างสม่ำเสมอ เพื่อคัดกรองความผิดปกติตั้งแต่เนิ่นๆ
2. กฎเหล็กเมื่อกลับถึงบ้าน
- อาบน้ำ สระผมทันที: เมื่อเลิกงาน สิ่งแรกที่ควรทำคืออาบน้ำทำความสะอาดร่างกายและเปลี่ยนเสื้อผ้าชุดใหม่ให้หมดจดก่อนที่จะไปสัมผัสหรืออุ้มลูกน้อย
- “แยกซัก” เสื้อผ้าทำงานเด็ดขาด: ห้ามนำเสื้อผ้าทำงานที่อาจปนเปื้อนแร่ใยหินมาซักรวมกับเสื้อผ้าของลูกและคนอื่นๆ ในบ้านเด็ดขาด ควรแยกตระกร้าและแยกซัก เพื่อป้องกันฝุ่นอันตรายฟุ้งกระจาย
- อย่าปล่อยให้ลูกนำเสื้อทำงานไปใส่เล่น: ควรอธิบายให้ลูกเข้าใจว่าเสื้อผ้าที่ใส่ออกไปทำงานอาจมีฝุ่นอันตราย ห้ามนำมาคลุมตัวหรือใส่เล่นเด็ดขาด
สุขภาพของคนในครอบครัวคือรากฐานที่สำคัญที่สุด ความรักในบ้านควรมาจากอ้อมกอดที่ปลอดภัย ปราศจากสารพิษตกค้าง หวังว่าบทความนี้จะเป็นประโยชน์และช่วยย้ำเตือนให้คุณพ่อคุณแม่หันมาใส่ใจเรื่องความสะอาด เพื่อปกป้องรอยยิ้มของลูกน้อยให้ห่างไกลจากภัยร้ายอย่างมะเร็งเยื่อหุ้มปอดนะคะ
ที่มา: Mirror , กรมควบคุมโรค
มีข้อสงสัยเรื่องการตั้งครรภ์ หรือมีคำถามเรื่องการเลี้ยงลูกหรือเปล่าคะ? ติดตามอ่านบทความ หรือสอบถามสิ่งที่คุณอยากรู้ผ่านแอปของเราได้เลย
ดาวน์โหลด theAsianparent แอปพลิเคชัน ทั้ง IOS และ Android ได้แล้ววันนี้!