TAP top app download banner
theAsianparent
theAsianparent
คู่มือสินค้า
  • TAP Awards 2025
  • อยากท้อง
  • แม่ท้อง แม่ให้นม
  • แม่ผ่าคลอด
  • หลังคลอด
  • สุขภาพและโภชนาการ
  • ลูก
  • ชีวิตครอบครัว
  • การศึกษา
  • ผู้หญิง
  • ไลฟ์สไตล์
  • วิดีโอ
  • คอมมูนิตี้
  • ชอปปิง
  • VIP
เข้าสู่ระบบ
    • บทความ
  • TAP Awards 2025TAP Awards 2025
  • อยากท้องอยากท้อง
  • แม่ท้อง แม่ให้นมแม่ท้อง แม่ให้นม
  • แม่ผ่าคลอดแม่ผ่าคลอด
  • หลังคลอดหลังคลอด
  • สุขภาพและโภชนาการสุขภาพและโภชนาการ
  • ลูกลูก
  • ชีวิตครอบครัวชีวิตครอบครัว
  • การศึกษาการศึกษา
  • ผู้หญิงผู้หญิง
  • ไลฟ์สไตล์ไลฟ์สไตล์
  • วิดีโอวิดีโอ
  • คอมมูนิตี้คอมมูนิตี้
  • ชอปปิงชอปปิง
  • VIPVIP
    • สังคมออนไลน์
  • โพล
  • ความจำ
  • อาหาร
  • สูตรอาหาร
  • หัวข้อ
  • อ่านบทความ
    • ติดตาม
  • ติดตามพัฒนาการการตั้งครรภ์
  • ติดตามพััฒนาการของลูกน้อย
    • ของรางวัล
  • ของรางวัลของรางวัล
  • การประกวด
  • VIP ParentsVIP Parents
    • อื่นๆ
  • ผลตอบรับ

นโยบายความเป็นส่วนตัวกฎการใช้งานคอมมูนิตี้แผนผังเว็บไซต์

ดาวน์โหลดแอปฟรี

google play store
app store

เฮอร์แปงไจน่า โรคตุ่มแผลในปากเด็ก ที่ไม่น่าไว้วางใจ ระบาดง่าย ติดง่าย น่ากลัว!!

บทความ 3 นาที
เฮอร์แปงไจน่า โรคตุ่มแผลในปากเด็ก ที่ไม่น่าไว้วางใจ ระบาดง่าย ติดง่าย น่ากลัว!!

สำหรับเด็กตัวเล็ก ๆ แล้ว ภูมิคุ้มกันยังมีไม่มากเท่าไหร่ ถึงแม้จะมีวัคซีนฉีดป้องกันแต่ สิ่งสำคัญคือการดูแลร่างกายลูกน้อยให้แข็งแรง รับประทานที่มีประโยชน์ เพื่อเป็นเกราะป้องกันโรคภัยไข้เจ็บด้วยอีกทางนะคะ

ในบรรดาโรคที่น่ากลัวสำหรับเด็ก ๆ อีกหนึ่งโรคนั่นก็คือ เฮอร์แปงไจน่า โรคในตระกูลเดียวกับโรคมือ เท้า ปาก ติดต่อจากเชื้อไวรัสที่แพร่ระบาดมาทางอากาศ ทำให้เด็ก ๆ ได้รับเชื้อกันได้ง่าย ติดต่อง่าย เพียงแค่สัมผัส ไอ จาม เท่านี้ก็มีโอกาสติดเชื้อกันได้สูง

เฮอร์แปงไจน่า ที่ไม่น่าไว้วางใจ ระบาดง่าย ติดง่าย น่ากลัวมาก!!

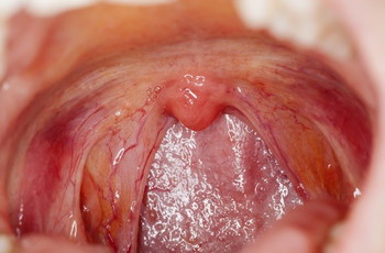
อาการของโรคเฮอร์แปงไจน่านั้นคล้าย ๆ กับโรคมือเท้าปาก แต่มีแตกต่างกันคือจะมีตุ่มแดง ๆ ตุ่มน้ำเล็ก ๆ  คล้ายแผลร้อนใน ขึ้นบริเวณในปากเท่านั้น จะอยู่ในช่องปากบริเวณเพดานอ่อน ลิ้นไก่ ต่อมทอนซิล และในโพรงคอหอยด้านหลัง หรืออาจลามมาที่บริเวณโคนลิ้น กระพุ้งแก้ม ทำให้รู้สึกเจ็บคอ คอแดง และจะมีไข้สูงประมาณ 39.5-40 องศาเซลเซียส เด็ก ๆ จะติดต่อกันได้ง่ายผ่านทางน้ำมูก ไอ จามโดยไม่ปิดปาก การสัมผัสหรือรับประทานสิ่งที่ปนเปือนกับน้ำลาย น้ำมูก ของเพื่อนที่เป็น โดยเฉพาะเด็ก ๆ วัยเรียนในช่วง 3-10 ขวบ ที่อยู่ร่วมกันในโรงเรียนหรือสถานเลี้ยงเด็ก จะมีโอกาสเสี่ยงเป็นโรคเฮอร์แปงไจน่าสูง เนื่องจากการเล่น หยิบจับ ของเล่นร่วมกัน ซึ่งเชื้อนี้จะอยู่ได้นานในอากาศเย็นและชื้น สามารถพบได้ตลอดทั้งปี แต่จะมาระบาดหนักมาในฤดูฝน

 

เฮอร์แปงไจน่า

โรคเฮอร์แปงไจน่า โรคตุ่มแผลในปากเด็ก สำหรับพ่อแม่ที่มีลูกเล็กควรรู้จักและป้องกัน

แม้ว่าอาการของโรคเฮอร์แปงไจน่าจะดูไม่รุนแรง แต่ก็ไม่น่าไว้วางใจ เพราะเมื่อเป็นลูกจะมีไข้สูงเฉียบพลัน และอาจมีภาวะแทรกซ้อนที่สามารถพบได้จากโรคนี้ เช่น การอักเสบของก้านสมอง กล้ามเนื้ออ่อนแรง และกล้ามเนื้อหัวใจอักเสบ ซึ่งอาจรุนแรงถึงขั้นเสียชีวิตได้

ปัจจุบันยังไม่มียาฆ่าเชื้อไวรัสตัวนี้โดยเฉพาะ ดังนั้นเมื่อเด็กเป็น จึงต้องรักษาตามอาการ ให้ยาลดไข้ และยาชาทาแผลในปาก เพื่อบรรเทาอาการเจ็บ โดยทั่วไปไข้จะลดประมาณ 2-3 วัน แผลในปากหายได้เองประมาณ 1 สัปดาห์ หากไม่มีไข้สูงหรือไม่มีไข้ก็ทำให้คุณแม่คลายกังวลลงได้ เพียงแต่ระวังภาวะแทรกซ้อนที่อาจเกิดขึ้นดังกล่าว สามารถให้ลูกทานอาหารได้ปกติ แต่ถ้าเจ็บแผลในปากมากจะไม่ยอมกินข้าว ไม่ยอมกลืนอาหาร ควรหาของอ่อน ๆ ให้ลูกรับประทาน เช่น อาหารประเภทน้ำซุป เคี้ยวง่าย ย่อยง่าย รสไม่จัด  และดื่มน้ำสะอาดมาก ๆ เพื่อช่วยลดไข้ ลดอาการขาดน้ำ และช่วยย่อยอาหารได้ง่ายขึ้น แต่ถ้าลูกกินอาหารไมได้เลย หายใจหอบ มีอาการแขนขาอ่อนแรง หรือชัก พบว่าผิดปกติ ควรรีบมาพบแพทย์โดยด่วนเลยนะคะ

เฮอร์แปงไจน่า

วิธีป้องกันลูกน้อยให้ห่างจากโรคเฮอร์แปงไจน่า

  • รักษาความสะอาดและฝึกให้ลูกดูแลความสะอาดของตัวเองในขณะอยู่ที่โรงเรียน ทั้งการล้างมือก่อน-หลังรับประทานอาหาร หลังเข้าห้องน้ำทุกครั้ง
  • รักษาสุขภาพของตัวเล็กให้แข็งแรงด้วยการให้รับประทานที่มีประโยชน์ เพื่อเป็นเกราะป้องกันโรค สร้างภูมิคุ้มกันให้ร่างกาย อย่างมีประสิทธิภาพ
  • การป้องกันโรคโดยหลีกเลี่ยงการอยู่ใกล้กับผู้ที่ไม่สบาย เพื่อลดโอกาสติดเชื้อ
  • หากลูกไม่สบายควรให้หยุดเรียนเพื่อรักษาอาการ สวมหน้ากากอนามัย เมื่อออกนอกบ้าน เพื่อลดการแพร่เชื้อไปสู่ผู้อื่น

ป้องกันโรคให้ถูกวิธี ก็จะทำให้ลูกลดความเสี่ยงต่อการเป็นโรค พร้อมที่จะเรียนรู้สิ่งต่าง ๆ ด้วยร่างกายที่แข็งแรง สมองที่ปลอดโปร่งสดใสต่อไป


ขอบคุณข้อมูลจาก : pr.moph.go.th

บทความใกล้เคียงที่น่าสนใจ :

โรคเฮอร์แปงไจน่า: โรคระบาดน่ากลัว กลุ่มเดียวกับโรค มือ เท้า ปาก

ลูกมีต่อมทอนซิลโตเรื้อรัง เป็นเพราะอะไร?

parenttown

บทความจากพันธมิตร
บอกลาสงครามล้างจมูก! เจาะลึก Happy Polar เครื่องล้างจมูกไฟฟ้า  นวัตกรรม 2 in 1 ที่คุณแม่ยุคใหม่ต้องมีติดบ้าน
บอกลาสงครามล้างจมูก! เจาะลึก Happy Polar เครื่องล้างจมูกไฟฟ้า นวัตกรรม 2 in 1 ที่คุณแม่ยุคใหม่ต้องมีติดบ้าน
Happy Polar คว้ารางวัลนวัตกรรมดูแลจมูกสำหรับเด็กยอดเยี่ยมแห่งปีจาก theAsianparent Awards 2025
Happy Polar คว้ารางวัลนวัตกรรมดูแลจมูกสำหรับเด็กยอดเยี่ยมแห่งปีจาก theAsianparent Awards 2025
โรงพยาบาลรวมใจรักษ์ @สุขุมวิท 62 แนวคิดใหม่ ของการดูแลสุขภาพของทุกครอบครัว
โรงพยาบาลรวมใจรักษ์ @สุขุมวิท 62 แนวคิดใหม่ ของการดูแลสุขภาพของทุกครอบครัว
สุดยอดตัวช่วยลูกรัก! Master Rabbit Iron With Folic + Vit D  คว้ารางวัล 'Parents' Choice Best Kids Supplemental' จาก theAsianparent Awards 2025
สุดยอดตัวช่วยลูกรัก! Master Rabbit Iron With Folic + Vit D คว้ารางวัล 'Parents' Choice Best Kids Supplemental' จาก theAsianparent Awards 2025

มีข้อสงสัยเรื่องการตั้งครรภ์ หรือมีคำถามเรื่องการเลี้ยงลูกหรือเปล่าคะ? ติดตามอ่านบทความ หรือสอบถามสิ่งที่คุณอยากรู้ผ่านแอปของเราได้เลย ดาวน์โหลด theAsianparent แอปพลิเคชัน ทั้ง IOS และ Android ได้แล้ววันนี้!

Follow us on:
facebook-logo instagram-logo tiktok-logo
img
บทความโดย

Napatsakorn .R

  • หน้าแรก
  • /
  • สุขภาพ
  • /
  • เฮอร์แปงไจน่า โรคตุ่มแผลในปากเด็ก ที่ไม่น่าไว้วางใจ ระบาดง่าย ติดง่าย น่ากลัว!!
แชร์ :
  • รวมรายชื่อ “หมอเด็กเฉพาะทาง” เก่งและใจดี ที่คุณแม่บอกต่อ!

    รวมรายชื่อ “หมอเด็กเฉพาะทาง” เก่งและใจดี ที่คุณแม่บอกต่อ!

  • บอกลาสงครามล้างจมูก! เจาะลึก Happy Polar เครื่องล้างจมูกไฟฟ้า  นวัตกรรม 2 in 1 ที่คุณแม่ยุคใหม่ต้องมีติดบ้าน
    บทความจากพันธมิตร

    บอกลาสงครามล้างจมูก! เจาะลึก Happy Polar เครื่องล้างจมูกไฟฟ้า นวัตกรรม 2 in 1 ที่คุณแม่ยุคใหม่ต้องมีติดบ้าน

  • Happy Polar คว้ารางวัลนวัตกรรมดูแลจมูกสำหรับเด็กยอดเยี่ยมแห่งปีจาก theAsianparent Awards 2025
    บทความจากพันธมิตร

    Happy Polar คว้ารางวัลนวัตกรรมดูแลจมูกสำหรับเด็กยอดเยี่ยมแห่งปีจาก theAsianparent Awards 2025

  • รวมรายชื่อ “หมอเด็กเฉพาะทาง” เก่งและใจดี ที่คุณแม่บอกต่อ!

    รวมรายชื่อ “หมอเด็กเฉพาะทาง” เก่งและใจดี ที่คุณแม่บอกต่อ!

  • บอกลาสงครามล้างจมูก! เจาะลึก Happy Polar เครื่องล้างจมูกไฟฟ้า  นวัตกรรม 2 in 1 ที่คุณแม่ยุคใหม่ต้องมีติดบ้าน
    บทความจากพันธมิตร

    บอกลาสงครามล้างจมูก! เจาะลึก Happy Polar เครื่องล้างจมูกไฟฟ้า นวัตกรรม 2 in 1 ที่คุณแม่ยุคใหม่ต้องมีติดบ้าน

  • Happy Polar คว้ารางวัลนวัตกรรมดูแลจมูกสำหรับเด็กยอดเยี่ยมแห่งปีจาก theAsianparent Awards 2025
    บทความจากพันธมิตร

    Happy Polar คว้ารางวัลนวัตกรรมดูแลจมูกสำหรับเด็กยอดเยี่ยมแห่งปีจาก theAsianparent Awards 2025

ฟีด

ฟีด

ติดตามอ่านบทความที่น่าสนใจ ทั้งเรื่องครอบครัว ไลฟ์สไตล์ ความเห็นจากผู้เชี่ยวชาญ ง่ายๆแค่ปลายนิ้ว

โพล

โพล

ร่วมแสดงความคิดเห็นผ่านโพลที่น่าสนใจ และติดตามผลโพลจากความเห็นของคุณพ่อคุณแม่ท่านอื่นๆ

ความจำ

ความจำ

แชร์รูปของเจ้าตัวน้อยไว้ในที่ๆปลอดภัย

หัวข้อ

หัวข้อ

เข้าร่วมสังคมออนไลน์ของเราสิคะ

ติดตาม

ติดตาม

ติดตามพัฒนาการการตั้งครรภ์และพัฒนาการของลูกน้อยในแต่ละวัน

theAsianparent

ดาวน์โหลดแอปฟรี

Google PlayApp Store

จากคุณแม่รอบโลก

Singapore flag
Singapore
Thailand flag
Thailand
Indonesia flag
Indonesia
Philippines flag
Philippines
Malaysia flag
Malaysia
Vietnam flag
Vietnam

Partner Brands

Rumah123VIP ParentsMama's ChoiceTAP AwardsDBD Registered

© Copyright theAsianparent 2026 . All rights reserved

  • เกี่ยวกับเรา
  • นโยบายความเป็นส่วนตัว
  • ข้อกำหนดการใช้
  • แผนผังเว็บไซต์
  • เครื่องมือ
  • บทความ
  • ฟีด
  • โพล

เราใช้คุกกี้เพื่อมอบประสบการณ์คอนเทนต์ที่ดีที่สุดให้กับคุณ. เรียนรู้เพิ่มเติมตกลง เข้าใจแล้ว

เราใช้คุกกี้เพื่อมอบประสบการณ์คอนเทนต์ที่ดีที่สุดให้กับคุณ. เรียนรู้เพิ่มเติมตกลง เข้าใจแล้ว